主页 > 主诊项目 > 牙病防治 > 牙周炎 > 三维根管治疗 >

根管治疗基本步骤<图解>

2017-07-25 13:46  来源:未知  责任编辑:admin  点击数:

导读

根管治疗是针对牙齿、牙髓、根尖病变的一个治疗过程。根管治疗术是通过清除根管内的坏死物质,进行适当的消毒,充填根管,以去除根管内容物对根尖周围组织的不良刺激,防止发……

根管治疗是针对牙齿、牙髓、根尖病变的一个治疗过程。根管治疗术是通过清除根管内的坏死物质,进行适当的消毒,充填根管,以去除根管内容物对根尖周围组织的不良刺激,防止发生根尖周病变或促进根尖周病变愈合的一种治疗方法。下面就来一起了解一下根管治疗的基本步骤“图解”。

根管治疗基本步骤<图解>
根管治疗基本步骤<图解>

一、术前拍摄X线片评估牙齿冠、根情况以及牙槽骨情况

在根管治疗过程中,在根管治疗术前拍X线片,以帮助诊断,了解髓室的位置和根管数目及形态,测量根管工作长度及日后随访和评价疗效提供对比的依据。

拍摄X线片

二、揭开髓腔

去净腐质和原有充填物、揭净随顶,看到整个髓底解剖结构以便后续治疗顺利进行

揭开髓腔

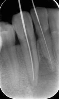
三、确定根管工作长度

应用平行投照X线方法、根管长度测量仪确定根管度,最好插针拍X片

确定根管工作长度

四、根管预备

根管清理成形的目的是去净根管壁上的感染物,通过根管器械的切削作用去除感染的牙本质并清理根管壁细菌以利于根管充填。

根管预备

五、根管冲洗

根管冲洗的目的是清除微生物、冲掉残渣,润滑根管器械和溶解有机残渣。

根管冲洗

六、根管消毒

根管消毒,达到根无菌状态

根管消毒

七、根管充填

封闭整个根管系统、堵塞主根管和侧副根管出口、防止微生物和液体的渗漏。无论是侧方加压法还是垂直加压法,应做到根管充填致密,根管充填后X线片上无根管腔隙,也不能超出根尖孔。立即咨询根管治疗价格<<

根管填充

上一篇:根管治疗可以干什么
下一篇:根管治疗全剖析:根管治疗和牙齿杀神经是一回事